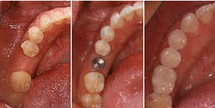
What are dental implants?
Dental implants are artificial root that are surgically and now a days minimally surgically positioned into the jawbone beneath your gums. Once in place, they allow your dentist to mount replacement teeth onto them. Dental implants are a popular and permanent way to improve the stability of your mouth. If you have missing teeth, or wear removable dentures, they can offer a way for you to maintain a stable, strong and long-lasting smile.
What special care can be done for Implant?
Most dental implants are successful, and there are a few steps you can take to help ensure success and make your implant last.
Practice good oral hygiene – brush twice a day and floss once daily. Using interdental brushes, brushes that slide between teeth, can help clean the hard to reach areas around your implant.
Quit smoking – smoking can weaken the bone structure and can contribute to implant failure.
Visit your dentist – cleanings and exams every six months can help ensure your implant is in good condition, and that it stays that way.
How Painful Are Dental Implants?
Most people who have received dental implants say that there is very little discomfort involved in the procedure. Local anesthesia can be used during the procedure, and most patients report that implants involve less pain than tooth extraction. Medicines are given after surgery for 3 days or more.
Can Anyone Get Dental Implants?
In most cases, anyone healthy enough to undergo a routine dental extraction or oral surgery can be considered for dental implants. Patients should have healthy gums and enough bone to hold the implant. They also must be committed to good oral hygiene and regular dental visits.
But there are some contraindications like
- Heavy smokers
- Uncontrolled diabetes
- Some heart disease
- Patients who have had radiation therapy
- And some medicines
What Are the Advantages of Dental Implants?
There are many advantages to dental implants, including:
- Improved appearance. Dental implants look and feel like your own teeth. And because they are designed to fuse with bone, they become permanent.
- Improved speech. With poor-fitting dentures, the teeth can slip within the mouth causing you to mumble or slur your words. Dental implants allow you to speak without the worry that teeth might slip.
- Improved comfort. Because they become part of you, implants eliminate the discomfort of removable dentures.
- Easier eating. Sliding dentures can make chewing difficult. Dental implants function like your own teeth, allowing you to eat your favorite foods with confidence and without pain.
- Improved self-esteem. Dental implants can give you back your smile and help you feel better about yourself.
- Improved oral health.Dental implants don’t require reducing other teeth, as a tooth-supported bridge does. Because nearby teeth are not altered to support the implant, more of your own teeth are left intact, improving long-term oral health. Individual implants also allow easier access between teeth, improving oral hygiene.
- Durability. Implants are very durable and will last many years. With good care, many implants last a lifetime.
How Successful Are Dental Implants?
Success rates of dental implants vary, depending on where in the jaw the implants are placed but, in general, dental implants have a success rate of up to 88%-98%. With proper care as we discussed above implants can last a lifetime.






